De acordo com um estudo recente, publicado na revista Bone Marrow Transplant, o transplante de células estaminais do sangue do cordão umbilical em doentes com leucemia mieloide aguda (LMA) contribuiu significativamente para a remissão da doença, atingindo resultados acima dos 90%.
Em 2018, estimou-se uma prevalência de 709 doentes com LMA, em Portugal, surgindo 251 novos casos por ano e com uma maior incidência em doentes na faixa etária dos 70-79 anos . O estudo, realizado pelo Acute Leukemia Working Party of the European Society for Blood and Marrow Transplantation e cujos resultados foram conhecidos em junho, comparou os resultados entre uma ou duas infusões de sangue do cordão umbilical em doentes adultos com LMA.
O estudo revelou que uma maior percentagem de doentes, aos quais foram administradas duas infusões de sangue do cordão umbilical, apresentaram a remissão completa quando comparada com uma só infusão. Ainda assim, a esmagadora maioria dos doentes atingiu a remissão completa após uma infusão e duas infusões de sangue do cordão umbilical, 91% e 99% respetivamente.
Outros parâmetros foram semelhantes nos dois grupos, tais como a incidência da doença do enxerto contra o hospedeiro, a incidência de recidiva, a sobrevivência livre de leucemia, a sobrevivência global e a sobrevivência livre de doença do enxerto contra o hospedeiro.
Este estudo, que abrangeu 325 doentes divididos em dois grupos, um com uma infusão sangue do cordão umbilical de e o outro com duas infusões sangue do cordão umbilical, permitiu concluir que os resultados de doentes com LMA submetidos a infusão sangue do cordão umbilical em remissão completa alcançados após uma ou duas infusões são semelhantes.
Ao longo dos anos, têm-se vindo a verificar a segurança da utilização do sangue do cordão umbilical, assim como o seu efeito terapêutico em diversas patologias. Andreia Gomes, diretora Técnica e de Investigação, Desenvolvimento e Inovação do laboratório português BebéVida, refere que “estudos e ensaios clínicos continuam a serem realizados e têm demonstrado que existe um efeito terapêutico real consistente e diferenciador com recurso às células estaminais do cordão umbilical. No caso da LMA, os estudos mais recentes avaliam e corroboram, mais uma vez, a segurança na infusão de sangue do cordão umbilical e os efeitos que uma simples infusão pode ter no tratamento desta patologia”.
A especialista em biologia celular e molecular, explica que “o maior número de células estaminais hematopoiéticas por unidade de volume, a menor imunogenicidade, a menor incidência e a gravidade de doença do enxerto contra o hospedeiro, a colheita não invasiva, indolor e sem qualquer tipo de risco para o dador (mãe e bebé), associados a um rápido e fácil transporte, capacidade de criopreservação sem afetar a qualidade, são algumas vantagens diferenciadoras do sangue do cordão umbilical”.
Andreia Gomes considera que ao guardar o cordão umbilical em detrimento de o descartar, “consegue-se ter a possibilidade de tratamento, uma vez que “as aplicações atuais das células estaminais do sangue e do tecido do cordão umbilical e os esforços médico-científico apresentam um grande crescimento”. A investigadora remata que “a decisão de criopreservar este material genético é cada vez mais relevante”.
Quer saber mais sobre Células Estaminais?
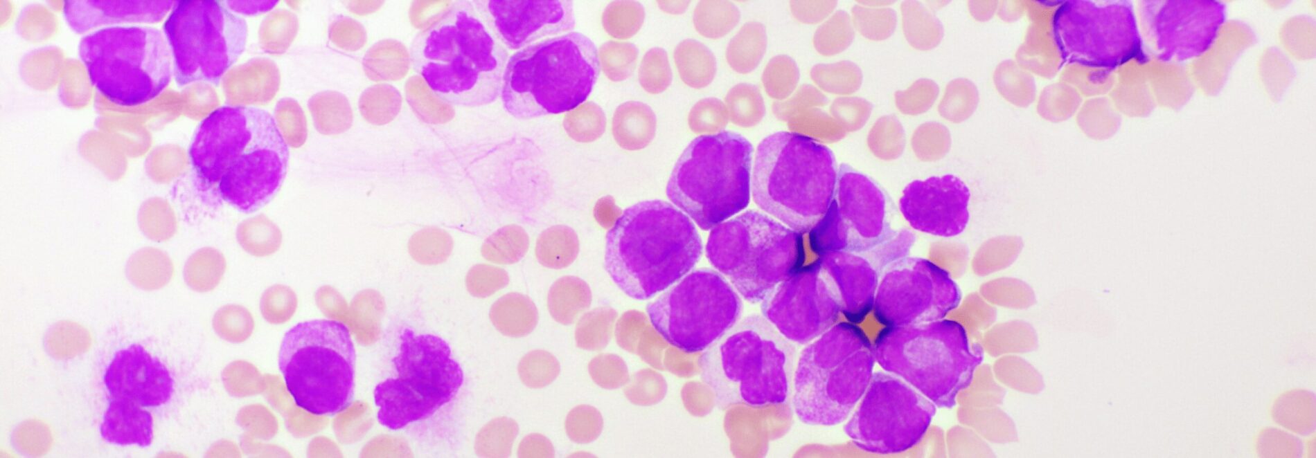
Leucemia Mieloide Aguda
Na leucemia mieloide aguda (LMA) ocorre a transformação maligna e a proliferação não controlada de uma célula progenitora mieloide. Esta célula encontra-se anormalmente diferenciada resultando em números circulantes elevados das células sanguíneas imaturas e, consequente, substituição da medula óssea por células malignas.
Uma vez que a produção de células anormais é elevada, muitos dos sintomas estão relacionados com o baixo número de células saudáveis, nomeadamente: perda de peso, dor nas articulações, cansaço, dificuldade em respirar, infeções, febre, hemorragias, hematomas, entre outros. O diagnóstico desta patologia é realizado através de análises ao sangue e à medula óssea.
Regra geral, o tratamento da LMA é composto por duas fases: a terapêutica de indução, que consiste na destruição e eliminação da maioria das células leucémicas existentes, permitindo restabelecer a produção de células sanguíneas (hematopoiese) normal; e a terapêutica de consolidação, que se inicia após se conseguir uma remissão da doença, tendo como objetivo destruir quaisquer células leucémicas potencialmente remanescentes, reduzindo o risco recidiva da doença.
As taxas de indução de remissão encontram-se entre os 50-85%. A sobrevivência livre da doença a longo prazo situa-se geralmente entre os 20-40%. No entanto, em doentes mais jovens tratados com quimioterapia seguido de transplante de células estaminais, sobrevivência livre da doença a longo prazo é de 40-50%.
O transplante de células estaminais permite substituir as células que foram destruídas pelo tratamento oncológico. Após este tratamento, o transplante autólogo (utilizando as suas próprias células estaminais que foram recolhidas e guardadas antes do tratamento) ou alogénico (utilizando células estaminais doadas) são essenciais para a melhoria destes doentes, uma vez que ajudam na recuperação celular da medula óssea.
Como ainda não existe uma estratégia de terapia que permita a diferenciação celular correta, são conduzidos vários estudos e ensaios para tentar combater esta patologia.
Contacte-nos e fique a saber mais sobre as vantagens destas células


